噛める喜びを
もう一度
- 「目立ちにくい入れ歯」11万円(税込)〜












入れ歯を使っている皆さんの多くは、苦しんでいます。
とんでもないストレスです。
どうしてこんなことになってしまったのでしょう。
答えは簡単です。お使いの入れ歯が、お口に合っていないからです。
詳しくは後でお話ししますが、一般的な保険診療の入れ歯は、そもそもお口にしっかりフィットするように作られていません。しかも、保険診療の入れ歯は、技術的にも材料的にも50年以上前からまったく進歩していません。
小林歯科クリニックでは、このようなお悩みを解決します。
当院の入れ歯が、多くの患者さんから選ばれる理由をご紹介します。

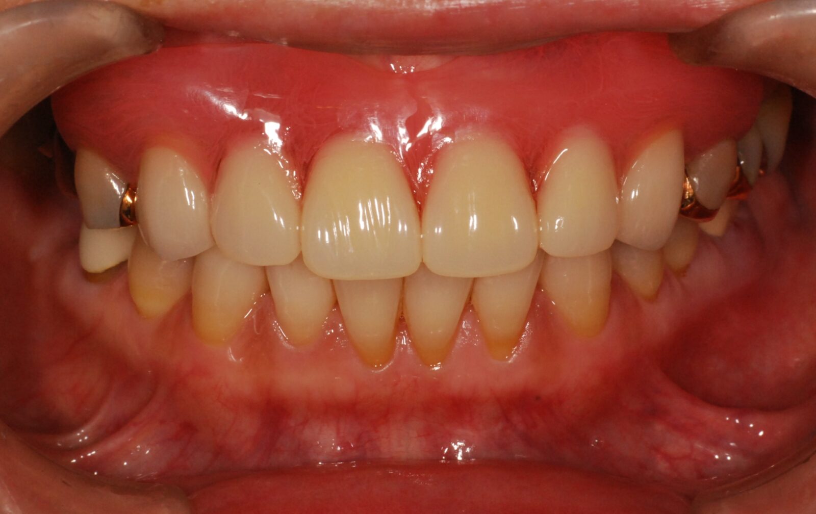
金属のバネが見えるのが嫌な方、もっとぴったりと密着した入れ歯を望まれる方にお勧めしているのが、右のように、金属のバネがない入れ歯「ノンクラスプ義歯」です。
金属バネ部分を、歯茎に近い色の樹脂で作ることで目立ちにくくしています。
当院では、「スマイルデンチャー」というノンクラスプ義歯を扱っています。








価格は約220,000円(税込)。ノンクラスプデンチャーを用いた症例。リスクとしては、過度の衝撃で割れることがあります。
チタン、コバルトクロムを使った「金属床」と呼ばれる入れ歯です。
この素材の一番の長所は、保険適用の入れ歯と比べて「薄い」「壊れにくい」「飲食物の温かみ・冷たさを感じやすい」ことです。特にチタン素材はコバルトクロム素材と比べて重さは2分の1で、金属アレルギーの心配もありません。








価格は約440,000円(税込)。総入れ歯の症例。リスクとしては、金属アレルギーを発症することがあります。
また、保険の入れ歯と比べて圧倒的に薄く作ることができます(約6分の1の薄さ)。お口の中の違和感を軽減できます。

【保険の入れ歯】

【保険外の入れ歯】

見た目も機能性も追求したい方には、磁石を利用した「磁性アタッチメント義歯(マグネット義歯)」をお勧めいたします。
そもそも金属のバネが存在しないので見た目も良く、磁石の力で入れ歯がしっかり固定されるので「噛めない」「外れてしまう」ということも起きにくいです。
金属のバネがないので、入れ歯を入れていることに気づかれにくいです。
磁石で固定させているので、簡単に取り外しができます。
強力な磁石を使っているので、動きにくく、外れにくいです。
また、磁力は永続的に機能しますので、取り換えなどの必要はありません。
シンプルな構造なので、お手入れは普通の入れ歯と変わりません。
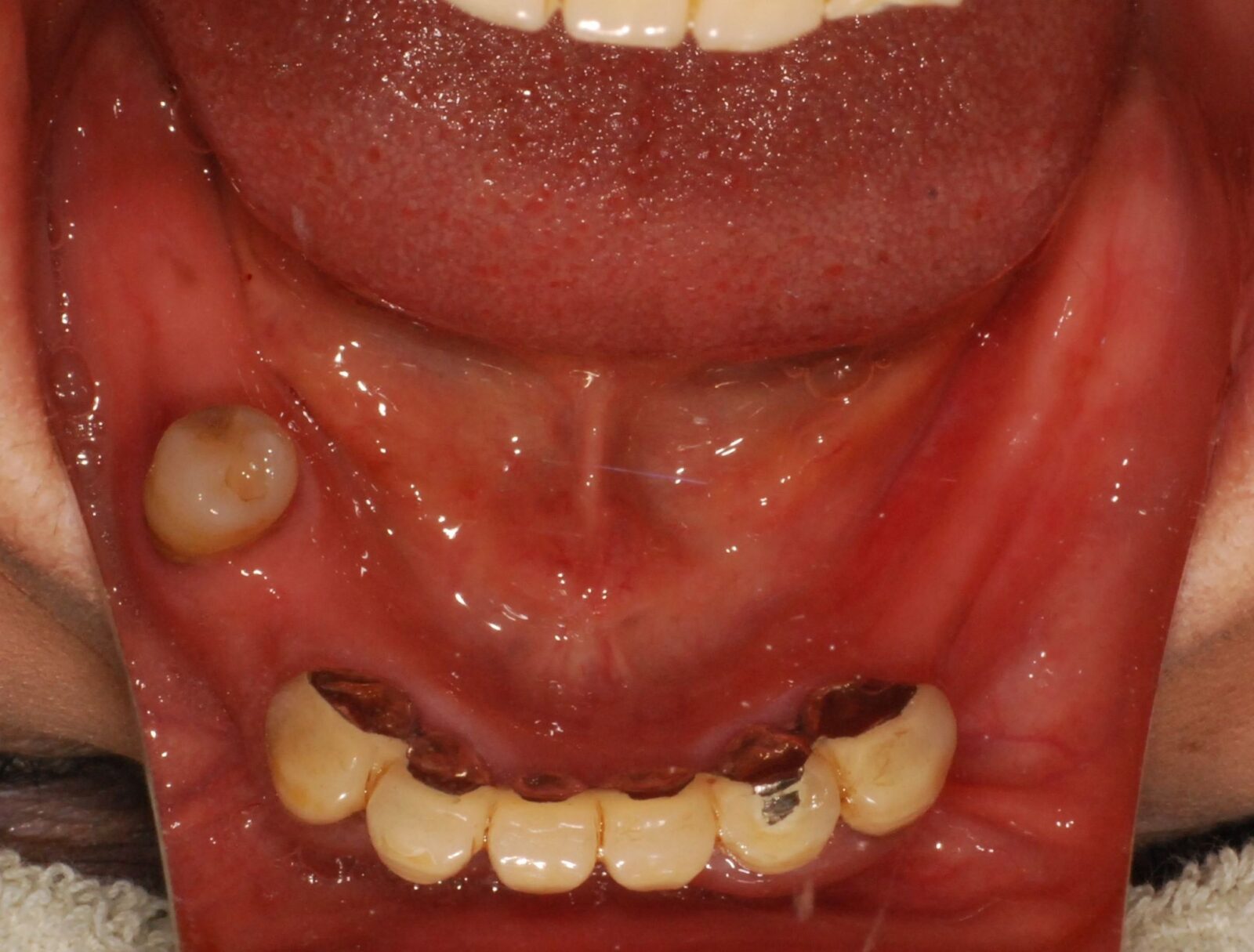
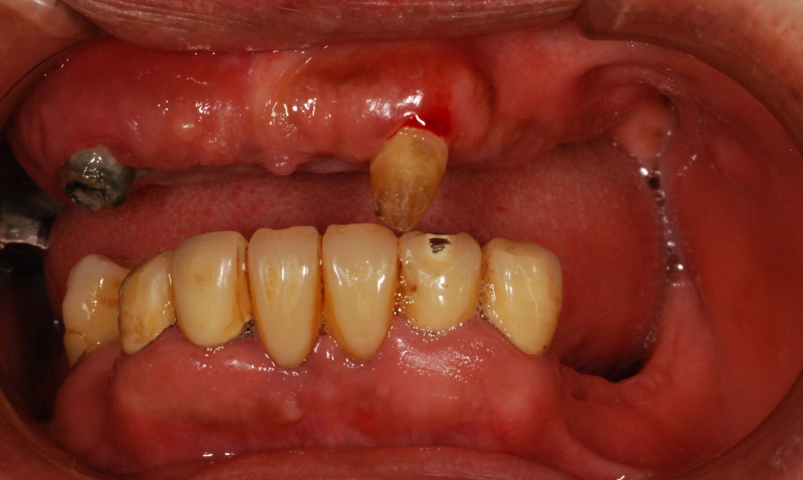
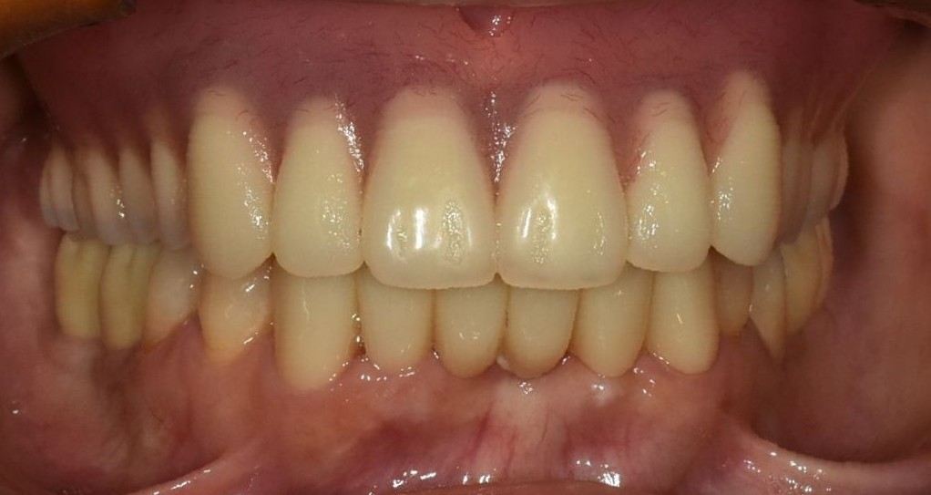
次の写真は、当院で製作した磁性アタッチメント義歯の症例です。

上の写真が、初診時のお口の状態です。
上顎には1本しか歯が残っていませんでしたが、その部分に磁石を取り付けました。総入れ歯にも磁石を取り付け、磁力で入れ歯を固定させました。




下顎にも歯が入っていますが、こちらはインプラント治療で対応しました。
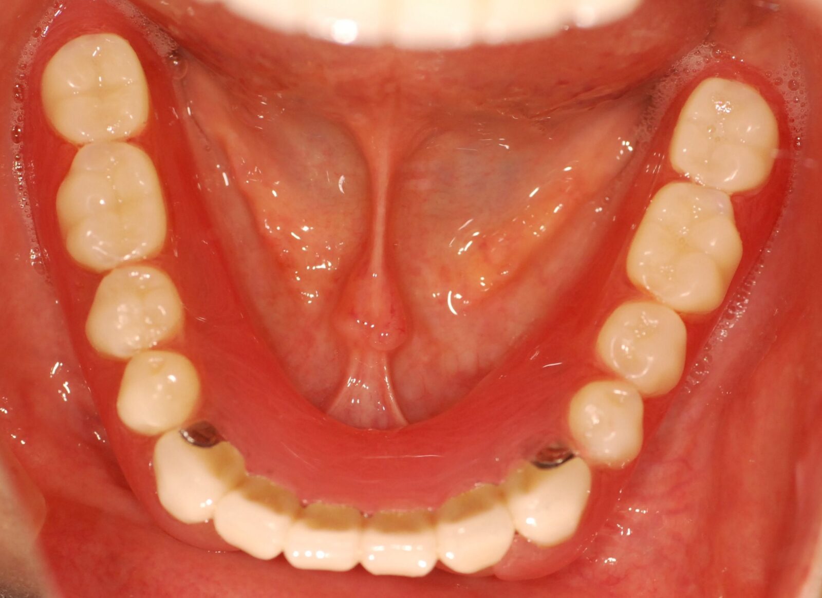
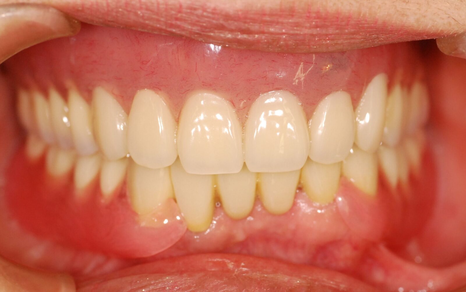
また、治療後の口元の状態が次の画像になります。
とても自然な口元になっています。

その他、インプラントを活用した「インプラントオーバーデンチャー」で見た目と機能性を回復させる治療も行っています。詳しくは、次のコラムをご覧ください。
総入れ歯や歯周病の方で「しっかり噛めない…」という相談をよく受けます。
そのような方にお勧めしているのが、2本のインプラントを固定源として入れ歯を支える「インプラントオーバーデンチャー」です。


黄色い○で囲んだ部分をはめ込むことで、入れ歯を固定します。
次のような特徴があります。
歯をたくさん失った方がインプラント治療を受けようとすると、失った歯の本数分のインプラント埋入が必要になることがあり、費用も高額になります。これに対してインプラントオーバーデンチャーは、2本のインプラントしか利用しないので、費用を大幅に抑えられます。
2本のインプラントを埋め込むだけなので、外科処置は数十分で完了します。
大がかりな外科処置を必要としないため患者さんの肉体的・精神的負担が軽減されます。
下の顎限定の治療法となりますが、歯が1本もなく総入れ歯をしている方から、5本くらい歯が残っている方でもインプラントオーバーデンチャーを行うことができます。
総入れ歯の方、部分入れ歯の方、歯を失ったままで噛みづらさを感じている方、歯周病で歯がグラグラしてしっかり噛めない方には、非常に希望が持てる治療法です。
ぜひ、一度お問い合わせください。
一般的な入れ歯の治療は「型を採って、入れ歯を作って終わり」というものですが、実はお口に合わない入れ歯ができ上がる主な原因はここにあります。
食事をする場合、お話しをする場合、何もしていない場合など、お口はそれぞれのシーンで異なる動きをします。ところが、一般的な入れ歯は「何もしていない状態」で型取りして作るので、お口の動きの変化についていけません。当然、お口に合うこともありません。

そこで当院では、「ティシュコンディショニング」という工程を実施しています。
ティシュコンディショニングでは、現在お使いの入れ歯に「ティシュコンディショナー」という素材を装着し、一定期間その入れ歯を使用していただきます。
こうすることで、日常のお口の動き、舌の動き、噛み癖などがティシュコンディショナーに反映されます。そこで得られた情報をもとに入れ歯を作成するので、さまざまななシーンで快適に利用できる入れ歯ができあがります。
入れ歯は、単に食事を美味しく食べるためだけの道具ではありません。
実は、脳の機能、体のバランス、生活リズムにまで影響を与えることもあります。
あなたに適切な入れ歯を作り「しっかり噛みやすくする」ことで、次のような効能がもたらされます。
「合わない入れ歯は、『ちほう』までの一里塚」といわれています。
合う入れ歯で食べ物をしっかり噛むことにより「ちほう防止」 に大きな効果があるのです。
これは、顎を動かすことにより脳の中を流れる血液の量が大幅に増加し、脳細胞を活性化させるためです。これはある統計でも証明されており、アルツハイマーになってしまう方には、歯が少ない人が多いようです。

身近な例えとしまして、眠気が襲ってきた時、眠気覚ましに「ガム」を噛むことがあります。
これはハッカによる刺激の効果もあると思いますが、ガムを噛む行為自体が脳に新鮮な血液を送りこむので、脳が活性化し、眠気が覚めるのです。
このようなことから、最近では、両親へのプレゼントとして、お子さんが来院され「親のために、よく合った入れ歯を作ってあげたい」というご要望もあります。
もし、ご両親が入れ歯で悩んでいるのであれば、お気軽にご相談ください。
噛み合わせを正すことで、体のブレがなくなり、姿勢が良くなるという話を聞いたことはありませんか?
東京老人総合研究所の報告によると、噛み合わせを正し、体のブレを無くすことで、研究対象者の足の捻挫・骨折の減少、交通事故発生率が低下したそうです。
合わない入れ歯を使っていると、「噛み合わせ」が悪化することが多いものです。
単に「おいしく食事ができる」入れ歯だけではなく「噛み合わせ」をしっかり考慮した入れ歯作りが、患者さんの安全と健康を守ります。
入れ歯を入れたら急に「老け顔」になってしまったという話を、良く聞きます。
これは「合わない入れ歯」が原因となっていることがあります。
歯は顔の輪郭を形作っている重要な要素です。
入れ歯が大きかったり小さかったりすると、顔の輪郭が変わってしまいます。輪郭の変化が顔のシワ・タルミの原因となり、老け顔を助長する元凶となります。

つまり、自分に適した入れ歯は「痛くなりにくく、しっかり噛みやすい、はずれにくい」といった機能的な面の回復だけでなく、シワ・タルミが生じないといった審美的な面までも回復してくれます。
しかし、お口の環境は時間の経過とともに変化していきますので、機能面・審美面を維持するためには、歯科医院での定期的なメンテナンスが大切となります。
当院では、患者さんが抱えていらっしゃるお口のお悩みや疑問・不安などにお応えする機会を設けております。どんなことでも構いませんので、私たちにお話ししていただけたらと思います。
ご興味がある方は下記からお問い合わせください。
