歯周病改善→差し歯治療(メタルボンド)
2012年12月14日
右上の前歯の根っこが、歯茎からはみ出しております。
奥歯の方も、被せ物の表面に張り付けてあったプラスチィックがはがれていました。
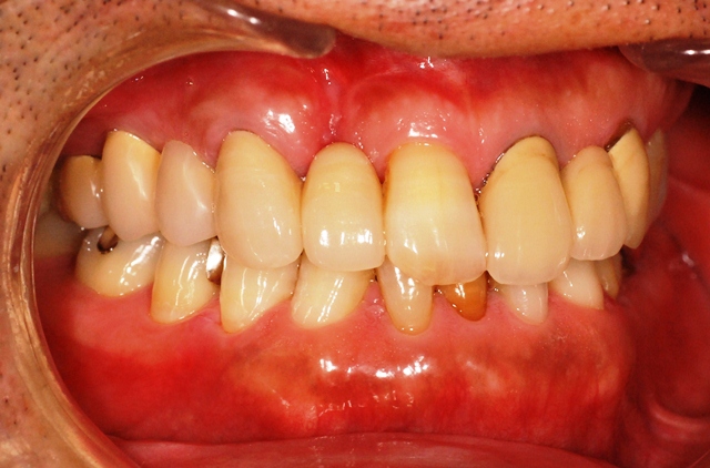
真ん中の歯の色に合わせて、セラミック治療をさせて頂きました。
2012年12月14日
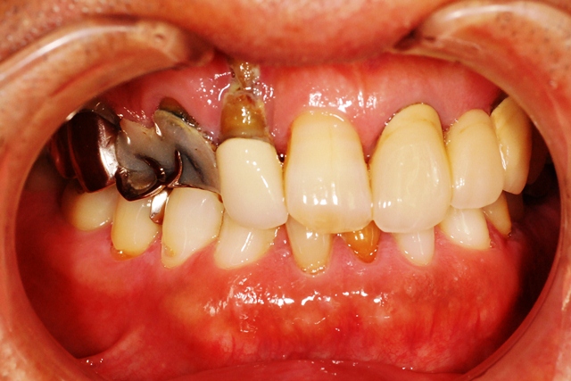
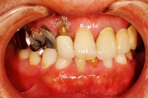
右上の前歯の根っこが、歯茎からはみ出しております。
奥歯の方も、被せ物の表面に張り付けてあったプラスチィックがはがれていました。
真ん中の歯の色に合わせて、セラミック治療をさせて頂きました。
当院では、患者さんが抱えていらっしゃるお口のお悩みや疑問・不安などにお応えする機会を設けております。どんなことでも構いませんので、私たちにお話ししていただけたらと思います。
ご興味がある方は下記からお問い合わせください。
