歯周病・歯槽膿漏治療 江坂
2012年12月2日

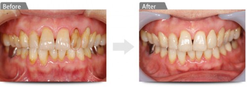
全体的に歯茎が赤く腫れておりますが、
特に右下の前歯の所が顕著です。
歯と歯茎の境目に、黒っぽい汚れがついています。
正体は歯石です。細菌の塊が、唾液中のカルシウムによって石灰化したものです。
歯石になってしまうと、ご自身のブラッシングでは除去できません。
歯科医院で除去していきますが、
表面にこれほど付着していますと、歯茎の中まで細菌が入り込んでおります。
麻酔のもと、専用の器具を用いて細菌の除去を徹底して行いました。
術後は、ブラッシングで全く出血しなくなり、患者様には喜んで頂きました。
親知らずの抜歯 歯医者 江坂
2012年12月2日




日常の診療の中で、
親知らずを残している事が原因で、咬み合わせや顎関節に悪影響を及ぼしているケースを、よく見かけます。
確かに親知らず1本だけで診ると、抜かずに置いときたいですが、
その1本をずっと残しているが為に、
咬み合わせの力によって、他の歯の神経をとったり、また他の歯がしみたり、物が詰まったり…
本来、一生涯残したい歯が、親知らずの咬み合わせによってダメージを受けております。
立派に生えている親知らずを抜歯させて頂いた後、
ものすごく咬みやすくなったと患者様に喜んで頂けれると、私も嬉しいです。
咬み合わせとは「力」なので、虫歯や歯周病と違って「目に見えません」。
お口全体を、様々な角度から、
常に考えながら診療していなければ、気づきにくい所でもあります。
親知らずの抜歯(水平埋伏) 吹田市
2012年12月2日





親知らずがあった為に、どうしても清掃不良となってしまいます。
1つ手前の歯の裏側が虫歯になっていました。
一生懸命にブラッシングしても、細菌の隠れ家がありますので、
お口全体の細菌の数が、減りません。
歯茎に被っていたり、水平に生えている場合は、
抜歯をお勧めします。