ジルコニアセラミック治療 吹田市
2012年12月13日
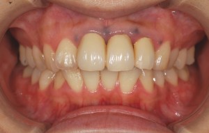
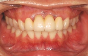
もともと前歯3本に、健康保険適用の前歯が入っておりましたが、
金属イオンの溶出の為、歯茎が黒くなっており、
形態も出っ歯の様な状態であった為、
歯を内側に入れて、金属を使わないオールセラミックであるジルコニアにて治療させて頂きました。
患者様が笑った時、上唇の位置から、
前歯が歯茎まで見えない為、治療を行っておりません。
2012年12月13日
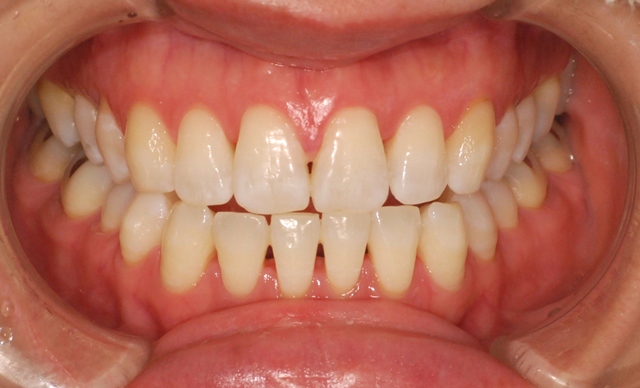
もともと前歯3本に、健康保険適用の前歯が入っておりましたが、
金属イオンの溶出の為、歯茎が黒くなっており、
形態も出っ歯の様な状態であった為、
歯を内側に入れて、金属を使わないオールセラミックであるジルコニアにて治療させて頂きました。
患者様が笑った時、上唇の位置から、
前歯が歯茎まで見えない為、治療を行っておりません。
当院では、患者さんが抱えていらっしゃるお口のお悩みや疑問・不安などにお応えする機会を設けております。どんなことでも構いませんので、私たちにお話ししていただけたらと思います。
ご興味がある方は下記からお問い合わせください。
