ジルコニアセラミック治療(ブリッジ形式) 吹田 江坂
2012年12月11日
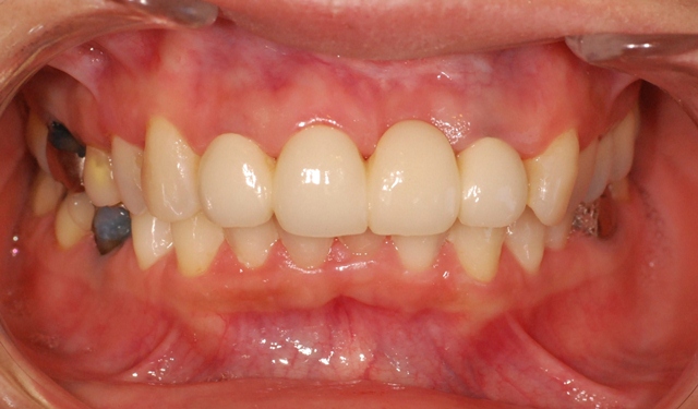
「歯周病」と「むし歯」が原因で、若干お口の中が崩壊しかかっている患者様です。
まずは歯周病を安定させてから、セラミッククラウンを連結させた「ブリッジ」という手法を用いて前歯部の治療を行いました。
女性の患者様でしたので、女性らしい丸みの帯びた形をデザインしました。
2012年12月11日
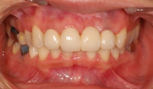
「歯周病」と「むし歯」が原因で、若干お口の中が崩壊しかかっている患者様です。
まずは歯周病を安定させてから、セラミッククラウンを連結させた「ブリッジ」という手法を用いて前歯部の治療を行いました。
女性の患者様でしたので、女性らしい丸みの帯びた形をデザインしました。
当院では、患者さんが抱えていらっしゃるお口のお悩みや疑問・不安などにお応えする機会を設けております。どんなことでも構いませんので、私たちにお話ししていただけたらと思います。
ご興味がある方は下記からお問い合わせください。
