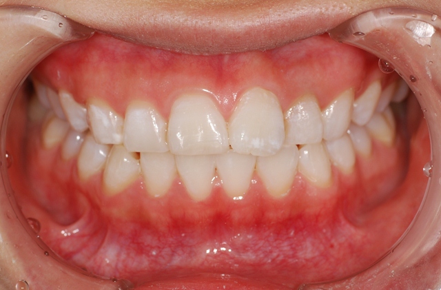
咬合平面改善症例(咬み合わせの改善) 豊中市
2012年12月10日
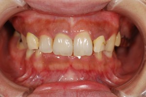
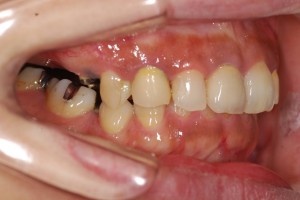
でこぼこの咬合平面を改善した症例です。
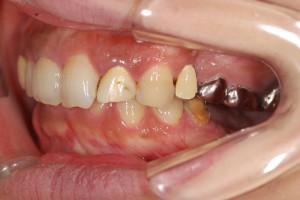
特に、右側は、下の歯と上の歯茎が近接しており、歯を作るスペースが全くありません。
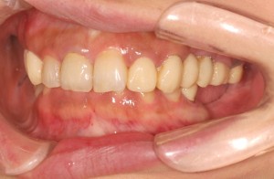
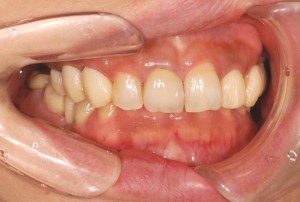
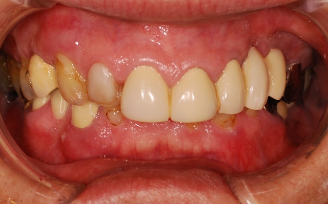
まだ仮歯(provisional)の状態です。
(非常に大切な行程です。)
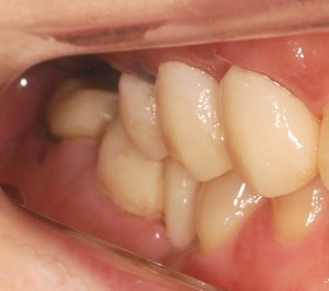
順次、セラミックに置き換えていきます。
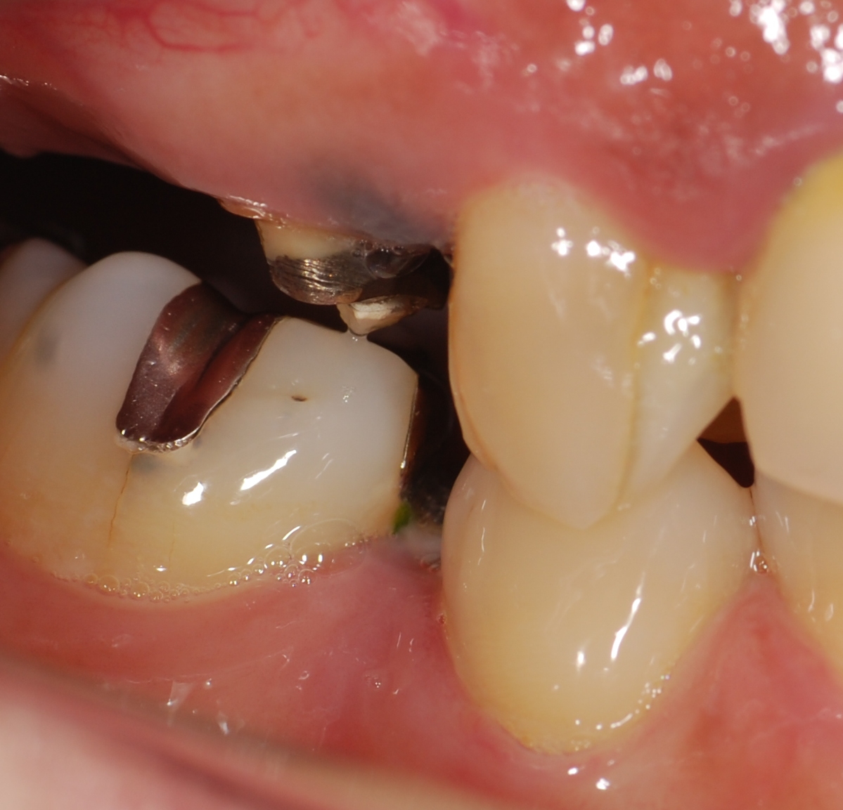
右上の奥の歯は、
被せ物が外れて、土台のままになっておりました。
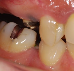
下の歯との距離もなく、被せ物の厚みのスペースがありません。
その上、土台も非常に低く小さい為、もし、このまま被したとしても、すぐ外れてしまいます。
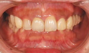
そこで、被せ物の処置が出来るように、
歯周外科により、歯茎のラインを整えながら、土台の高さを確保し,歯の環境を整えました。










