銀歯からセラミックへ(審美歯科:メタルフリー症例) 吹田市 江坂
2012年12月11日
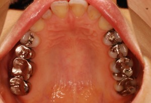
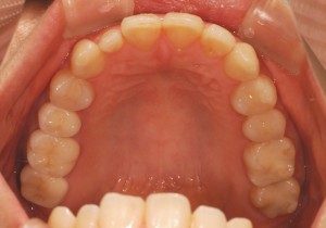
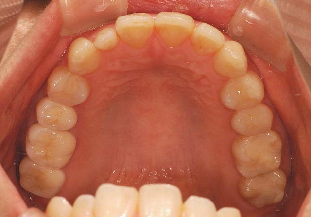
お口の中から、金属を完全に除去した症例です。
保険適用の銀歯には、
主成分が50%銀で、その他、金、銅、パラジウム、亜鉛、イリジウム、インジウム、など多種の金属が含まれております。
お口の中に食べ物が入ってくると、必ず酸性になりますので、
酸化、腐食し、イオン化して溶け出して体内に蓄積されます。
その結果、金属アレルギーを誘発したり (金属アレルギーは遅延型の為、すぐには現れません)
歯と銀歯の隙間から、再度虫歯になり易いです。
セラミック治療は、白いだけでなく、
体にとって優しく、
歯にとっても優しく、再治療の可能性が少ない治療法です。
右上の奥歯3本は、
セラミックの強度、審美性のいいとこどりをしたオールセラミックのジルコニアにて被させて頂きました。
治療後は、体も疲れづらく、気持ちも若返りましたと喜ばれて頂きました。




